‪Roger Marí‬ Molas

Computer Vision Research Engineer (PhD) with a strong background in image processing and deep learning. My doctoral research focused on remote sensing and 3D vision tasks (reconstruction, calibration, co-registration, change detection). More recently, my work has centered on neural rendering for remote-sensing imagery, cultural heritage digitization, and the development and application of generative AI methods.

Born in Barcelona (1995), I studied at Universitat Pompeu Fabra, completing with honors a BSc in Audiovisual Systems Engineering and a specialized MSc in Computer Vision. I moved to Paris in October 2018 to pursue a PhD at Centre Borelli (ENS Paris-Saclay) under the supervision of Gabriele Facciolo. I defended my thesis Applications of multi-image remote sensing in December 2022. In January 2024 I joined the Multimedia Technologies Unit at Eurecat where I currently contribute to national and European projects in Computer Vision and AI.

Google Scholar  /  ResearchGate  /  LinkedIn  /  GitHub

profile photo
Research

I am passionate about scientific writing and communicating research through peer-reviewed publications. Selected publication highlights are listed below.

Filter by topic
LAND teaser
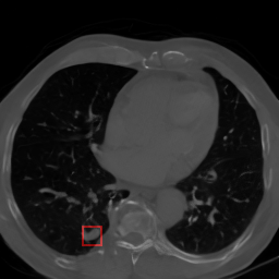
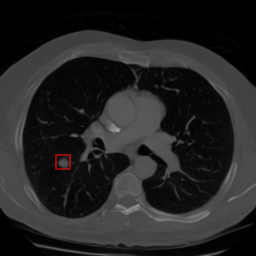
Anatomically Guided Latent Diffusion for High-Resolution 3D Chest CT Synthesis
Anna Oliveras, Roger Marí, Rafael Redondo, Oriol Guardià, Cynthia I. Ugwu, Ana Tost, Bhalaji Nagarajan, Carolina Migliorelli, Vicent Ribas, Petia Radeva
Scientific Reports, 2026
paper / doi: 10.1038/s41598-026-51634-4

LAND (Lung And Nodule Diffusion) is a latent diffusion model for synthetic chest CTs conditioned on lung and nodule masks. The generated volumes outperform state-of-the-art baselines and improve downstream nodule segmentation and classification.

MExECON teaser
MExECON: Multi-View Extended Explicit Clothed Humans Optimized via Normal Integration
Fulden Ece Uğur, Rafael Redondo, Albert Barreiro, Stefan Hristov, Roger Marí
VISAPP, 2026
paper / code / doi: 10.5220/0014402400004084

We reconstruct clothed human avatars from sparse RGB images. MExECON extends the single-view method ECON (CVPR 2023) to arbitrary numbers of viewpoints, improving geometry and pose estimation without requiring network retraining.

ShinyNeRF teaser
ShinyNeRF: Digitizing Anisotropic Appearance in Neural Radiance Fields
Albert Barreiro, Roger Marí, Rafael Redondo, Gloria Haro, Carles Bosch
ISPRS Archives, 2026
project page / paper / code / doi: 10.5194/isprs-archives-XLVIII-2-W12-2026-33-2026

ShinyNeRF advances NeRF-based 3D digitization of specular surfaces by phisically modeling isotropic and anisotropic reflections based on interpretable material/geometric parameters (normals, tangents, ASG anisotropy), enabling anisotropic material editing.

S-EO dataset teaser
S-EO: A Large-Scale Dataset for Geometry-Aware Shadow Detection in Remote Sensing Applications
Elías Masquil, Roger Marí, Thibaud Ehret, Enric Meinhardt-Llopis, Pablo Musé, Gabriele Facciolo
CVPR Workshops, 2025
project page / paper / data / doi: 10.1109/CVPRW67362.2025.00224

This new dataset comprises multi-view satellite images (PAN, RGB), corresponding vegetation and shadow masks, bundle-adjusted RPC camera models and ground-truth DSMs for 702 different geographic areas of 500x500 m each across three different US cities.

MapsLDM real aerial image
MapsLDM synthetic aerial image
Latent Diffusion Approaches for Conditional Generation of Aerial Imagery: A Study
Roger Marí‬, Rafael Redondo
IPOL, 2025
paper / demo / code / doi: 10.5201/ipol.2025.580

We evaluate the fidelity and realism of different architectural variations of a latent diffusion model, which is used to generate RGB aerial images conditioned to semantic maps.

Chest CT synthetic 2D image
Chest CT synthetic 2D image
Characterization of Synthetic Lung Nodules in Conditional Latent Diffusion of Chest CT Scans
Roger Marí‬, Paula Subías-Beltrán, Carla Pitarch, Mar Galofré, Rafael Redondo
Artificial Intelligence Research and Development, 2024
paper / code / data / doi: 10.3233/FAIA240408

We generate synthetic 2D chest CT imagery using a conditional latent diffusion model guided by bounding-box masks and attribute embeddings. We analyze how well the model controls lung nodule placement and characteristics, highlighting strengths and biases.

VaxNeRF review teaser
Accelerating NeRF with the Visual Hull
Roger Marí
IPOL, 2024
paper / demo / doi: 10.5201/ipol.2024.553

This paper reviews VaxNeRF. NeRF-based rendering is accelerated by restricting sampling to the visual hull, the maximal volume consistent with multi-view object silhouettes.

Radar Fields teaser
Radar Fields: An Extension of Radiance Fields to SAR
Thibaud Ehret, Roger Marí, Dawa Derksen, Nicolas Gasnier, Gabriele Facciolo
CVPR Workshops, 2024
paper / doi: 10.1109/CVPRW63382.2024.00061

Despite the important differences between optical and synthetic aperture radar (SAR) image formation models, we show that radiance fields can be extended to radar images.

Pseudo Pansharpening NeRF teaser
Pseudo Pansharpening NeRF for Satellite Image Collections
Emilie Pic, Thibaud Ehret, Gabriele Facciolo, Roger Marí‬
IGARSS, 2024
paper / doi: 10.1109/IGARSS53475.2024.10641439

EO-NeRF is extended to handle high-res panchromatic (PAN) and low-res multispectral (MS) inputs, eliminating the need for separate pansharpening. The resulting model can render pansharpened image surrogates with high-res color information for each input viewpoint.

DiffNeRF before
DiffNeRF after
A Generic and Flexible Regularization Framework for NeRFs
Thibaud Ehret, Roger Marí‬, Gabriele Facciolo
WACV, 2024
paper / code / poster / doi: 10.1109/WACV57701.2024.00306

We propose a generic regularization framework for NeRF based on differential geometry that outperforms previous state-of-the-art methods with only three input views. We compare our approach with RegNeRF (CVPR 2022).

EO-NeRF before
Multi-Date Earth Observation NeRF: The Detail Is in the Shadows
Roger Marí‬, Gabriele Facciolo, Thibaud Ehret
CVPR Workshops, 2023
project page / paper / code / poster / doi: 10.1109/CVPRW59228.2023.00197

We present EO-NeRF, that reveals scene geometry from multi-date satellite images with an unprecedented level of detail. We propose a geometrically consistent shadow model and a radiometric decomposition of the scene adapted to pansharpened satellite images.

PhD thesis teaser
Applications of Multi-Image Remote Sensing
Roger Marí‬
PhD Thesis, 2022
manuscript / NNT: 2022UPASM045

This thesis investigates 3D reconstruction from collections of high-resolution satellite images. The first part examines the mathematical modeling of satellite acquisition geometry, and the second part explores several applications of multi-image remote sensing.

Disparity estimation teaser
Disparity Estimation Networks for Aerial and High-Resolution Satellite Images: A Review
Roger Marí‬, Thibaud Ehret, Gabriele Facciolo
IPOL, 2022
paper / demo / doi: 10.5201/ipol.2022.435

We evaluate the performance of the deep learning architectures PSM (CVPR 2018) and HSM (CVPR 2019) for disparity estimation on multiple pairs of high-resolution satellite images.

Sat-NeRF teaser
Sat-NeRF: Learning Multi-View Satellite Photogrammetry With Transient Objects and Shadow Modeling Using RPC Cameras
Roger Marí‬, Gabriele Facciolo, Thibaud Ehret
CVPR Workshops, 2022
project page / paper / code / poster / doi: 10.1109/CVPRW56347.2022.00137

Sat-NeRF is the first work in neural rendering for multi-date satellite images to demonstrate quantitatively convincing results in terms of surface reconstruction.

L1B+ before
L1B+ after
L1B+: A Perfect Sensor Localization Model for Simple Satellite Stereo Reconstruction from Push-Frame Image Strips
Roger Marí‬, Thibaud Ehret, ‪Jérémy Anger, Carlo de Franchis, Gabriele Facciolo
ISPRS Annals, 2022
paper / poster / doi: 10.5194/isprs-annals-V-1-2022-137-2022

We emulate a perfect sensor to generate a single image from a fragmented push-frame strip. The resulting product simplifies large-scale 3D modeling from push-frame imagery.

Bundle Adjustment RPC refinement teaser
A Generic Bundle Adjustment Methodology for Indirect RPC Model Refinement of Satellite Imagery
Roger Marí‬, Carlo de Franchis, Enric Meinhardt-Llopis, ‪Jérémy Anger, Gabriele Facciolo
IPOL, 2021
paper / demo / code / doi: 10.5201/ipol.2021.352

We propose a generic bundle adjustment method for satellite multi-view stereo pipelines. The RPC camera models of the input views are refined with a rotation that compensates localization errors related to the attitude angles encoding the satellite orientation.

Stockpile before
Automatic Stockpile Volume Monitoring Using Multi-View Stereo from SkySat Imagery
Roger Marí‬, Carlo de Franchis, Enric Meinhardt-Llopis, ‪Gabriele Facciolo
IGARSS, 2021
paper / doi: 10.1109/IGARSS47720.2021.9554482

The RPC camera models of a time series of SkySat acquisitions are refined and used to compute a surface model for each date, which is used to measure the stockpile volume.

RPC fitting teaser
Robust Rational Polynomial Camera Modelling for SAR and Pushbroom Imaging
Roland Akiki, Roger Marí‬, Carlo de Franchis, Jean-Michel Morel, ‪Gabriele Facciolo
IGARSS, 2021
paper / code / doi: 10.1109/IGARSS47720.2021.9554583

We describe a terrain-independent algorithm to accurately derive the RPC camera model linking a set of 3D-2D point correspondences based on a regularized least squares fit.

Bundle adjustment comparison teaser
To Bundle Adjust or Not: A Comparison of Relative Geolocation Correction Strategies for Satellite Multi-View Stereo
Roger Marí‬, Carlo de Franchis, Enric Meinhardt-Llopis, ‪Gabriele Facciolo
ICCV Workshops, 2019
project page / paper / poster / doi: 10.1109/ICCVW.2019.00274

This work investigates and compares different relative geolocation correction techniques for multi-view stereo pipelines for satellite images. We assess the impact on the output geometry.

Radial calibration before
Radial calibration after
Deep Single Image Camera Calibration with Radial Distortion
Manuel López-Antequera, Roger Marí‬, Pau Gargallo, Yubin Kuang, Javier Gonzalez-Jimenez, Gloria Haro
CVPR, 2019
paper / supp / doi: 10.1109/CVPR.2019.01209

We present a deep learning method to predict extrinsic (tilt and roll) and intrinsic (focal length and radial distortion) parameters from a single image. We use a parameterization that is better suited for learning than directly predicting the camera parameters.